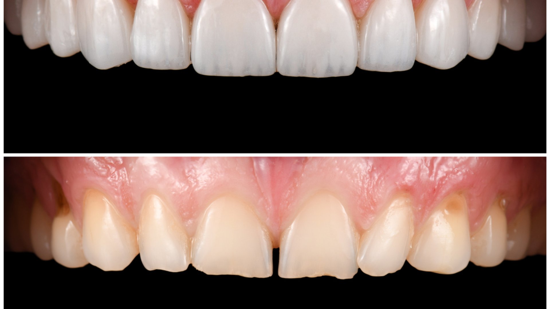
Héjak, koronák, kompozit – melyik esztétikai megoldás való neked?

A mosolyunk nemcsak esztétikai kérdés, hanem az önbizalmunk egyik meghatározó eleme. Éppen ezért sokan keresik azt a megoldást, amellyel természetesen és tartósan tehetik szebbé a fogaikat. A modern esztétikai fogászat ma már több lehetőséget is kínál – a kérdés az, hogy melyik illik leginkább a saját mosolyodhoz és a fogak állapotához.
Héjak, koronák, kompozit – melyik esztétikai megoldás való neked?

Mikor jó választás a foghéj?

A foghéjak vékony kerámialemezek, amelyeket a fog elülső felszínére helyeznek, így ideálisak kisebb esztétikai hibák korrekciójára. Ha a fogaid formája nem tökéletes, enyhén szabálytalanok, kicsit elszíneződtek vagy szeretnéd egységesebbé tenni a mosolyod, a héjak nagyon természetes eredményt adnak. Az egyik legnagyobb előnyük, hogy minimális foganyag-eltávolítással járnak, így a fog szerkezete nagyrészt érintetlen marad. A kerámiahéjak színállósága kiváló, évek múltán is ragyogóak, és különösen akkor ideálisak, ha harmonikus, finoman átalakított mosolyt szeretnél. Fontos azonban figyelembe venni, hogy a héjak nem alkalmasak súlyosan sérült vagy nagy tömésű fogak helyreállítására – ezekhez erősebb megoldás szükséges.

Korona – amikor nem csak a szépség számít

A korona jóval stabilabb és tartósabb alternatíva, mint a héj, hiszen teljesen körbefedi a fogat. Akkor ajánlott, ha a fog szerkezete már nem elég erős, például korábbi sérülés vagy nagyobb szuvasodás miatt, és funkcionálisan is meg kell erősíteni. A modern cirkónium- és préskerámia koronák esztétikában már egyáltalán nem maradnak el a héjaktól, sőt természetességük és élettartamuk miatt sokan előnyben részesítik őket. Különösen akkor érdemes koronát választani, ha a mosolyzónában lévő fog elszíneződött, letört vagy alakjában jelentősen változtatnál. A korona segítségével teljesen újraalkotható a fog formája és színe, miközben hosszú távon ellenálló marad a terheléssel szemben.

Kompozit – gyors és kíméletes megoldás kisebb hibákra

A kompozit tömőanyagok ma már messze túlmutatnak a klasszikus fogtöméseken. Modern, esztétikus formájukban alkalmasak apróbb formai korrekciókra, hézagok zárására, letört fogélek pótlására vagy akár teljes mosolyformázásra is. A kompozit megoldás egyik legnagyobb előnye a gyorsaság: gyakran egyetlen alkalommal elkészíthető, és sok esetben nincs szükség a fogréteg lecsiszolására. Az anyag minimális invazivitása miatt kíméletes alternatíva, és ár-érték arányban is kedvező. Hátránya, hogy kevésbé tartós, mint a kerámia, valamint idővel elszíneződhet, így inkább azoknak ajánlott, akik nem a végleges, több évtizedes megoldást keresik, hanem természetes, gyors korrekciót szeretnének.

Esztétikai fogászat árak – hogyan gondolkodj tudatosan?

Az esztétikai fogászati árak több tényezőtől függnek, így érdemes nem csak a költségek alapján dönteni. A használt anyag minősége, a fog állapota, a szükséges előkészítés és a technológiai háttér egyaránt befolyásolja a végösszeget. A DentExpert rendelőjében például transzparens módon kommunikálják az árakat, így a páciensek már az első konzultáción tisztán látják, milyen lehetőségek közül választhatnak. Mivel az esztétikai fogászat árak jelentősen eltérhetnek attól függően, hogy héjról, koronáról vagy kompozitról van szó, a szakemberek minden esetben segítenek meghatározni, melyik megoldás illik leginkább a fogak állapotához és az elvárásokhoz. Az ilyen személyre szabott tervezés azért különösen fontos, mert hosszú távon nem a legolcsóbb, hanem a legoptimálisabb döntés térül meg.

Hogyan válaszd ki a számodra tökéletes megoldást?

A döntés kulcsa mindig a fogak kiinduló állapota és az, hogy milyen változást szeretnél elérni. Ha csak enyhébb esztétikai módosításokra van szükség, a kompozit kiváló választás. Ha tartós, színálló és prémium megoldást keresel, a kerámiahéj hozza a legszebb, legtermészetesebb eredményt. Ha pedig a fog szerkezetét is helyre kell állítani, a korona biztosítja a hosszú távú stabilitást és esztétikát. A legjobb döntést mindig személyes konzultáció során lehet meghozni, hiszen ilyenkor derül ki, milyen alternatívák állnak rendelkezésre, és hogyan érdemes azokat kombinálni. A megfelelő kezelés nemcsak a mosolyod megjelenését változtatja meg, hanem annak működését és tartósságát is pozitívan befolyásolja.